Мы используем cookie-файлы для того, чтобы отличить вас от других пользователей нашего ресурса. Это позволяет обеспечивать удобный просмотр нашего сайта, а также даёт возможность улучшать его. Продолжая пользоваться сайтом, Вы даете согласие на обработку персональных данных и соглашаетесь с политикой обработки персональных данных. Cookie-файлы обрабатываются посредством Яндекс метрики
OK
Имплантация моя-стоматология Иваново

Терапия

Диагностика и лечение различных заболеваний зубов требует не только высококвалифицированного подхода, но и применения современных технологий, которые обеспечивают максимальную эффективность и безопасность процедур
В клинике «Моя стоматология» реставрация зуба является основным и главным принципом лечения
Лечение зубов – это комплекс мероприятий, направленных на профилактику и предотвращение таких заболеваний, как кариес, пульпит, периодонтит, а также заболеваний слизистой полости рта.

Лечение зубов

Кариес можно обнаружить на ранних этапах, тогда лечение зуба проводится в одно посещение.
Кариес зубов - это патологический процесс, протекающий в твердых тканях зуба и развивается в результате комплексного воздействия неблагоприятных внутренних (неправильное питание (высокоуглеводная пища), стресс, снижение иммунитета, несоблюдение гигиены полости рта и т. д.) и внешних факторов.

Кариес - это самая распространенная причина обращения к врачу стоматологу. Отсутствие своевременного лечения может только усугубить процесс и привести к воспалению внутренних мягких тканей зуба (пульпит), а в дальнейшем и к воспалению периодонтальных тканей (периодонтит).

При вовлечении в процесс внутренней структуры зуба (пульпы) количество приемов увеличивается и встаёт вопрос об эндодонтическом лечении зуба (лечении корневых каналов).

В клинике «Моя стоматология» эндодонтическое лечение проводится с помощью современного инструментария и оборудования (эндонаконечники, апекслокаторы, бинокуляры и т. д.) под обязательным компьютерным трехмерным рентгенологическим контролем.

Как происходит терапевтическое лечение?

  • Оборудование

    Наши врачи-терапевты проводят лечение с помощью бинокуляров. Это незаменимое оборудование при лечении корневых каналов зуба, обеспечивающее максимально точный прогноз результатов.
  • Технологии лечения

    Терапевты используют изоляцию зубов при помощи коффердама и оптрагейтов. Это золотой стандарт в современной стоматологии. Коффердам изолирует зуб, на него не попадает влага и это является гарантией надежности лечения, под пломбой не разовьется вторичный кариес.
  • Материалы используемые при лечении

    Пломбировочные материалы последнего поколения, которые позволяют добиться высокой эстетики и надежности.
  • Препараты используемые при лечении

    Всё лечение наши врачи-стоматологи проводят с использованием современных анестетиков, которые обеспечат Вам полный комфорт и безболезненность процедуры.
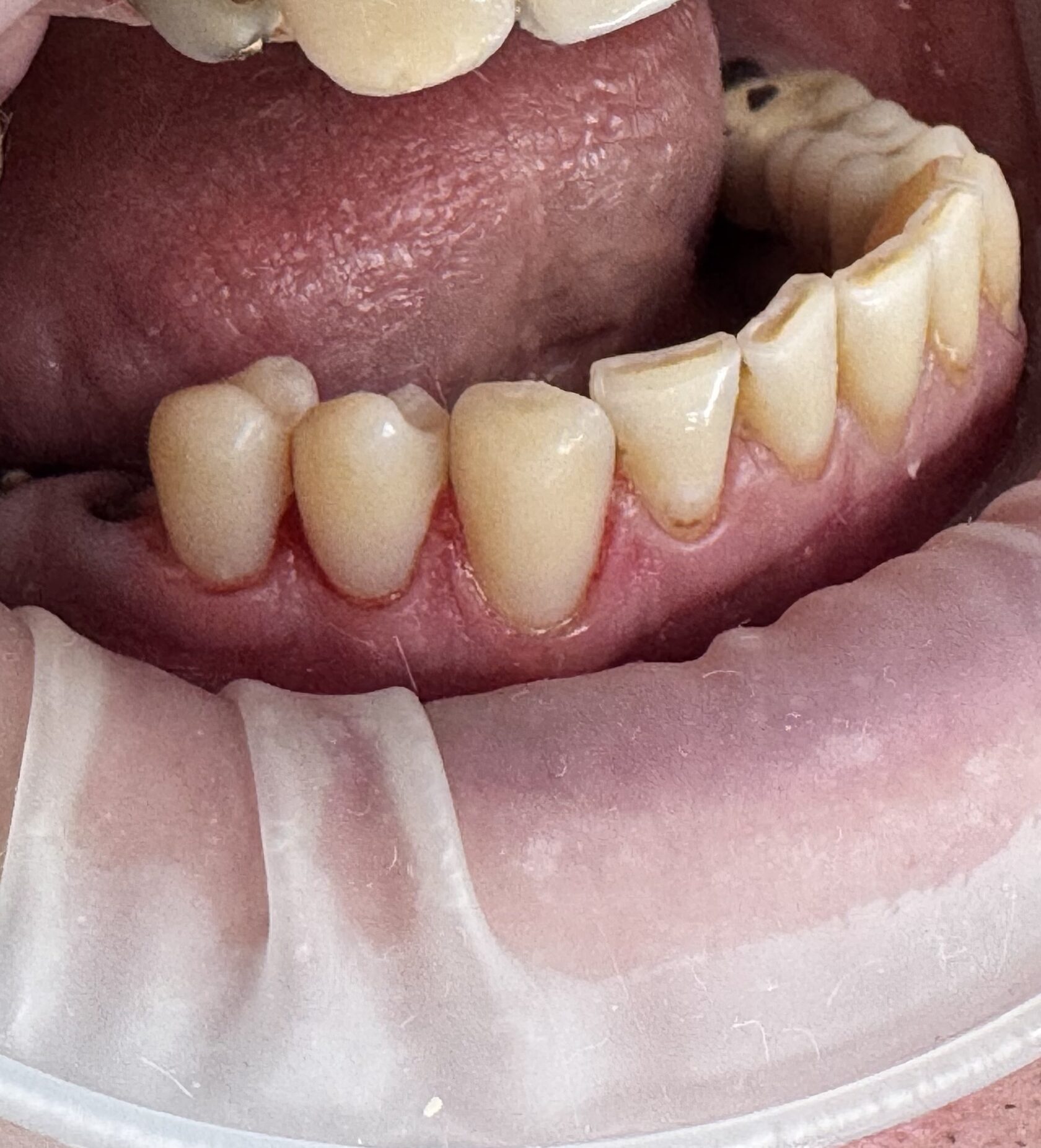
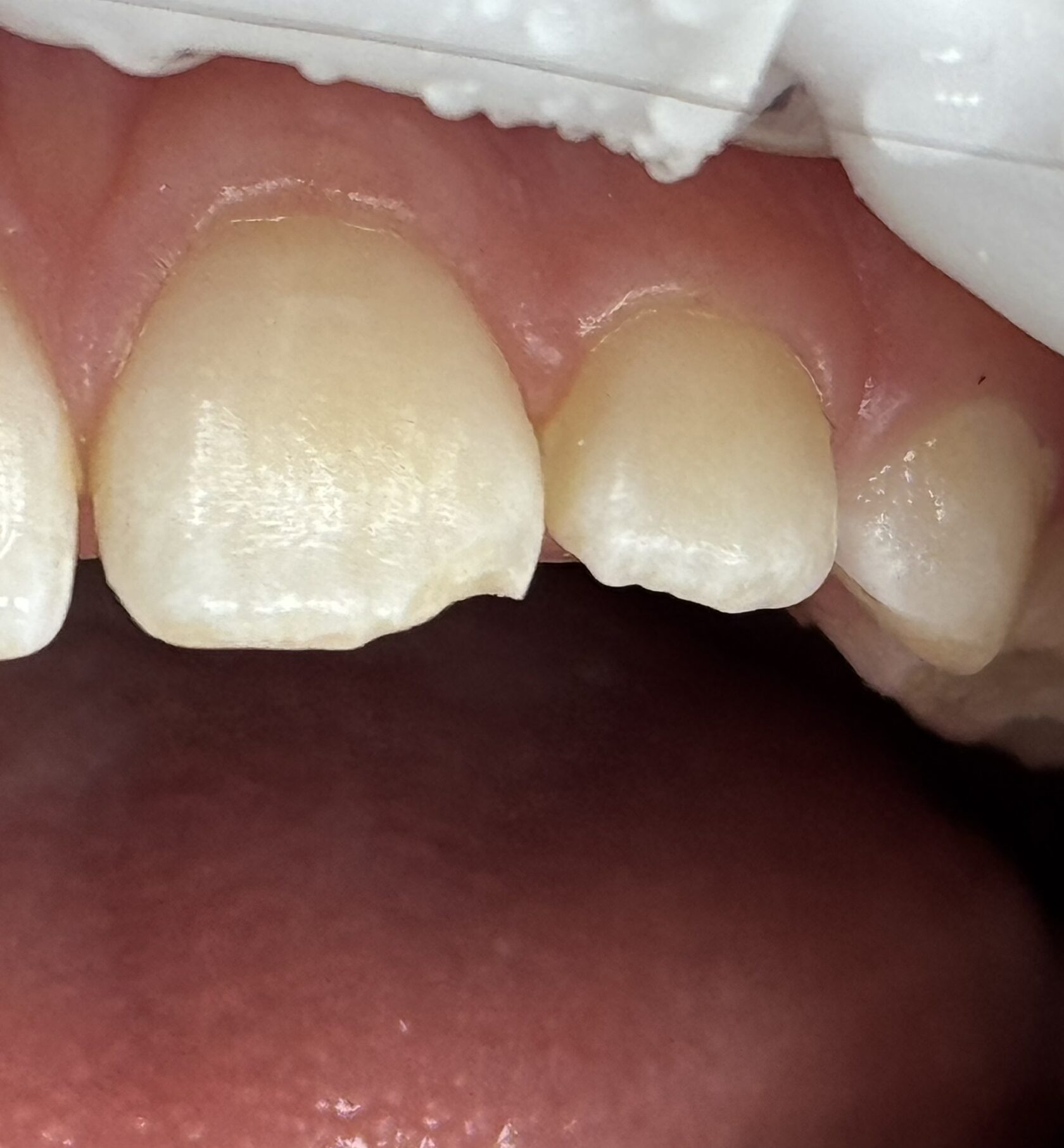
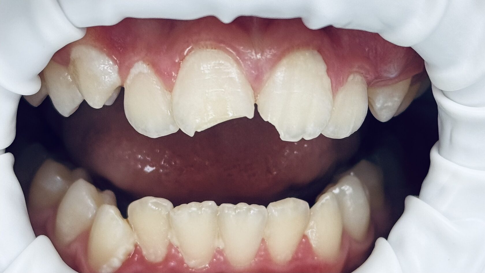
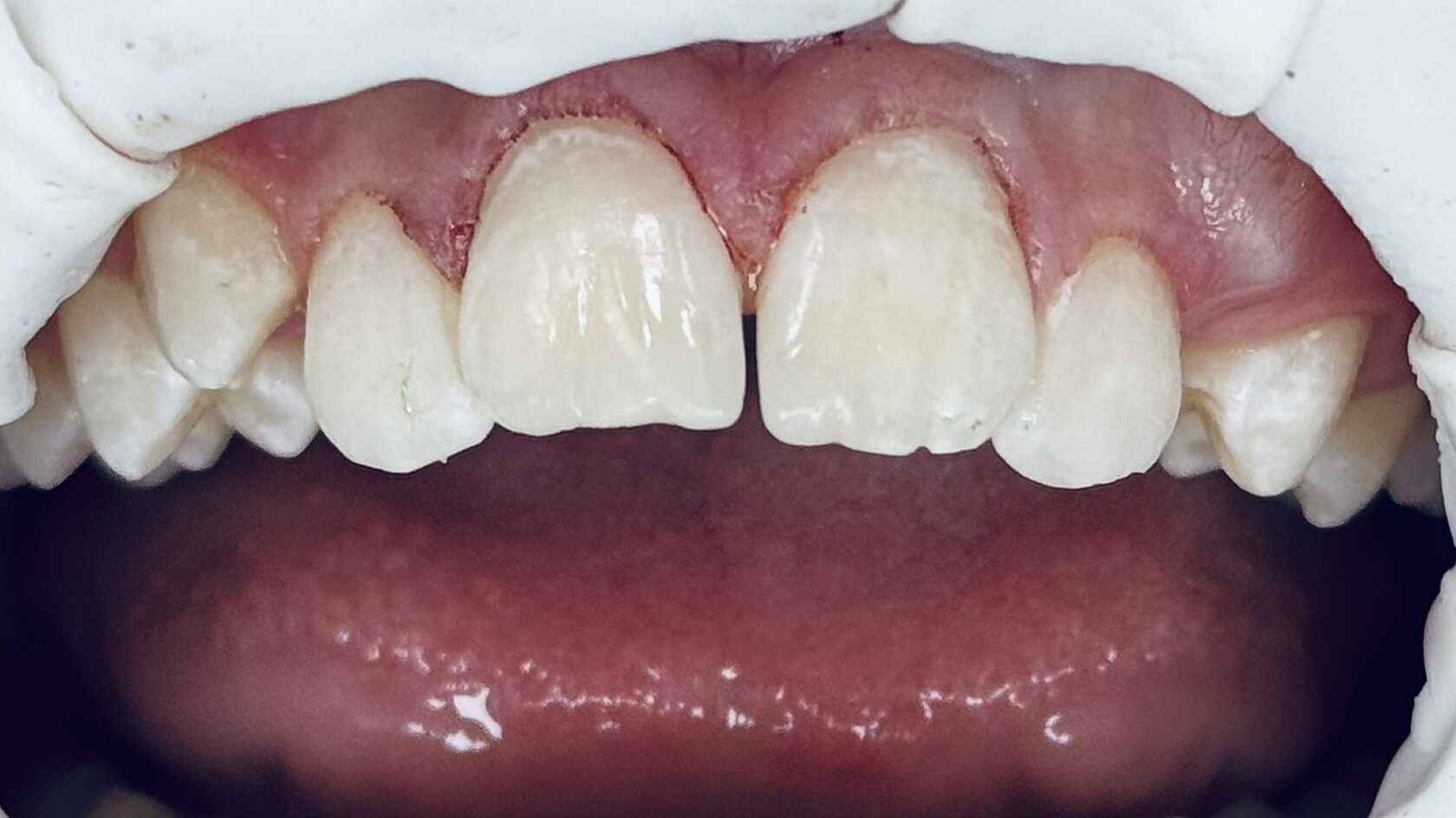
До и после лечения кариеса
После
До
До
До
После
До
До
После
После
До
До
После
После
До
До
После
После

Специалисты услуги

Шутовская Елена Александровна
Главный врач,
Врач - стоматолог,
Врач - стоматолог Детский
Стаж работы с 2006 года
Специалист в области реставрационной стоматологии. Входит в Международный клуб лучших реставраторов «Доверие», созданный одним из самых высококвалифицированных специалистов в области реставрационной стоматологии – Денисом Валерьевичем Крутиковым.
Кроме того, специализируется на оказании стоматологической помощи детям. Использует современные методики лечения наших маленьких пациентов
Зайцева Оксана Васильевна
зубной врач
Стаж работы с 2001 года
Обладает большим опытом в терапевтическом лечении зубов различной степени сложности у взрослых и детей
Федоренко Виталий Викторович
Врач - стоматолог
Стаж работы с 2009 года
Специалист в области терапевтического лечения временных и постоянных зубов у детей и взрослых различной степени сложности

Цены на услуги терапии

~ 1 час
Восстановление зуба пломбой из фотополимеров
от 6 100 ₽
~ 1 час
Эстетико-функциональное восстановление зуба (реставрация) из фотополимеров
от 8 600₽
~ 1.5-2 часа на каждый зуб
Эстетико-функциональное восстановление зуба - прямая композитная реставрация из фотополимера ВИНИР
от 10 000 ₽
~ 45 минут
Лечение одного корневого канала
от 4 030 ₽
Запись на прием
Запись на прием
Вы можете записаться на прием по телефону +7 (4932) 58-75-55