Мы используем cookie-файлы для того, чтобы отличить вас от других пользователей нашего ресурса. Это позволяет обеспечивать удобный просмотр нашего сайта, а также даёт возможность улучшать его. Продолжая пользоваться сайтом, Вы даете согласие на обработку персональных данных и соглашаетесь с политикой обработки персональных данных. Cookie-файлы обрабатываются посредством Яндекс метрики
OK
Имплантация моя-стоматология Иваново

Отбеливание системами Opalescence

Профессиональные методы отбеливания в стоматологическом кабинете и дома
В клинике «Моя стоматология» мы предоставляем услуги по отбеливанию зубов системой Opalescence и методами эндоотбеливания
Opalescence - это система отбеливания зубов, разработанная компанией Ultradent, которая включает в себя как профессиональные методы отбеливания в стоматологическом кабинете, так и наборы для домашнего использования

Эндоотбеливание – это метод отбеливания зубов изнутри каналов или коронки. Принцип состоит в том, что депульпированная заранее зубная полость заполняется специальным отбеливающим гелем.

Отличие домашнего отбеливание от офисного

Opalescence – современная, эффективная и безопасная система осветления эмали. Домашнее отбеливание зубов Opalescence проводится дома после обязательной консультации врача, а офисное — в кабинете стоматолога. Рекомендовать тот или иной способ отбеливания может только врач-стоматолог.

Как проходит офисное отбеливание?

В клинике врач проведет тщательный осмотр полости рта и вместе с пациентом определит желаемый цвет зубов при естественный цвет зубов заносится в фотопротокол. Также доктор обязательно порекомендует пройти процедуру профессиональной гигиены, чтобы избавить зубы от налета и камня. Потом зубы покроют фторсодержащим лаком, что сделает их менее чувствительными.

Профессиональное офисное отбеливание проводится в кабинете стоматолога. На зубы наносится гель с высоким содержанием отбеливающих веществ, который активируется химически, без использования лампы. После процедуры наносится специальный лак, снижающий чувствительность. Чаще всего для достижения желаемого эффекта нужен один визит. Если же результат с первого раза не достигнут, назначается повторная процедура.

Как проходит домашнеее отбеливание?

При домашнем отбеливании зубов используется система геля и капп Конструкция создана таким образом, что при надевании гель полностью покрывает поверхность зубов, при этом гель не вытекает из капп. Препараты Opalescence отличаются друг от друга концентрацией осветляющих веществ — от 10% до 20%. Для чувствительных зубов рекомендован гель с меньшей отбеливающей активностью. Как правило, домашнее отбеливание зубов рассчитано 10 — 14 дней, время ношения каппы — от 2 до 8 часов в сутки - в зависимости от концентрации средства.

После осмотра и профессиональной гигиены доктор подберет оптимальную концентрацию и даст рекомендации по применению. Также возможна услуга изготовления индивидуальных капп под зубной ряд пациента, чтобы процедура проходила максимально комфортно.

Эндоотбеливание

Эндоотбеливание – это метод отбеливания зубов изнутри каналов или коронки. Принцип состоит в том, что депульпированная заранее зубная полость заполняется специальным отбеливающим гелем.

Процедура достаточно проста на всех этапах. Прежде чем приступать к ней, специалист выясняет причину потемнения зуба, а также посредством рентгена оценивает, насколько качественно до этого были вылечены каналы. При десколорите зуба (изменение цвета) после ранее проведённого лечения.

Рекомендации пациенту в процессе отбеливания

Рекомендации в процессе отбеливания и после и в течение 10-14 дней:
  • Отказаться от курения или снизить количество сигарет. Не курить во время ношения каппы с отбеливающим гелем
  • Снизить или исключить из рациона вина и крепкие алкогольные напитки
  • Полностью исключить из рациона цитрусовые, соевый соус, зеленые яблоки и виноград
  • Избегать употребление горячих и очень холодных напитков и блюд
  • Снизить или полностью отказаться от сахара
  • Исключить любые газированные напитки
  • Увеличить потребление воды до 1,5-2 литров в сутки
  • Строго соблюдать рекомендации лечащего врача
Противопоказания к проведению отбеливания
Современные препараты отбеливания относительно безопасны, однако отложить или отказаться от процедуры все же придётся, если:
  • Установлены ортопедические конструкции в зоне улыбки: коронки или протезы. Ортопедические конструкции не отбеливаются
  • На зубах есть старые пломбы, изменившие цвет. Пломбы не отбеливаются, поэтому будет принято решение о замене пломб, чтобы избежать контрастности
  • Аллергическая реакция или сверхчувствительность к компонентам отбеливающего средства
  • Обнаружен кариес. Зубы перед отбеливанием должны быть здоровыми
  • Беременность или кормление грудью

  • Продольные трещины на зубах
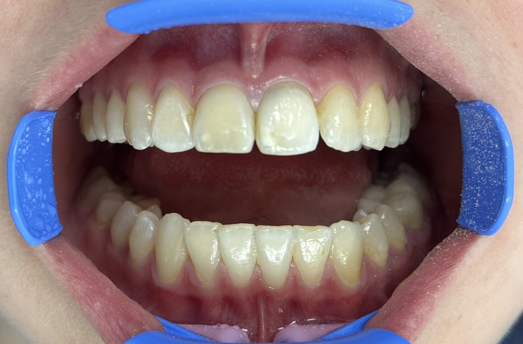
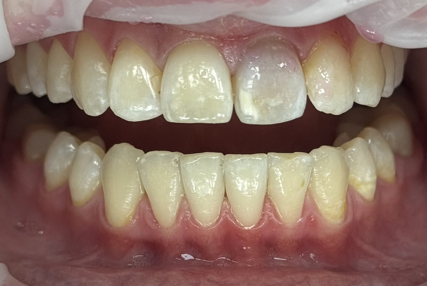
Примеры отбеливания
До
До
После
После

Специалисты услуги

Шутовская Елена Александровна
Главный врач,
Врач - стоматолог,
Врач - стоматолог Детский
Стаж работы с 2006 года
Специалист в области реставрационной стоматологии. Входит в Международный клуб лучших реставраторов «Доверие», созданный одним из самых высококвалифицированных специалистов в области реставрационной стоматологии – Денисом Валерьевичем Крутиковым.
Кроме того, специализируется на оказании стоматологической помощи детям. Использует современные методики лечения наших маленьких пациентов

Цены на услуги отбеливания

~ 2 часа
Профессионональное отбеливание зубов (система «Opalescence) - одна процедура, зона улыбки
14 000₽
~ 45 минут
Профессиональное отбеливание зубов (система «Opalescence) - одна процедура 1 зуб
1 400₽
~ несколько дней
Изготовление индивидуальной каппы для домашнего отбеливания
4 500₽
~ 30-40 минут
Внутрикоронковое отбеливание зуба измененного в цвете
от 3 000₽
Запись на прием
Запись на прием
Вы можете записаться на прием по телефону +7 (4932) 58-75-55